症状別で見る
マウスピース矯正
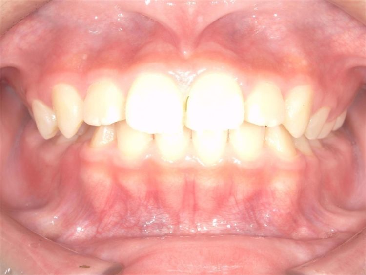
- 【大人矯正】出っ歯や嚙み合わせ不良を美しく正しい噛み合わせへ

- 【大人矯正治療例】前歯のV字状の捻じれと出っ歯、叢生、過蓋咬合をインビザラインできれいな歯並びに

- 【大人矯正治療例】頬側転位と埋伏歯を抜歯とマウスピース矯正で綺麗な歯並びに

- 【大人矯正治療例】重度の過蓋咬合と叢生をマウスピース矯正(インビザライン)で綺麗な歯並びに

ワイヤー矯正
ハイブリット矯正
大人矯正
- 【大人矯正】出っ歯や嚙み合わせ不良を美しく正しい噛み合わせへ

- 【大人矯正治療例】前歯のV字状の捻じれと出っ歯、叢生、過蓋咬合をインビザラインできれいな歯並びに

- 【大人矯正治療例】頬側転位と埋伏歯を抜歯とマウスピース矯正で綺麗な歯並びに

- 【大人矯正治療例】重度の過蓋咬合と叢生をマウスピース矯正(インビザライン)で綺麗な歯並びに

小児矯正
- 【小児矯正治療】乳歯から永久歯への交換期。読みづらい時期の矯正治療例。

- 歯牙腫除去と前歯萌出誘導症例。ワイヤー矯正で綺麗な歯並びに!

- 筋力と成長力で受け口(反対咬合)を改善!ハイブリット矯正治療

- 【小児矯正症例】永久歯へ生え変わり途中での矯正治療

出っ歯(上顎前突)
- 【大人矯正】出っ歯や嚙み合わせ不良を美しく正しい噛み合わせへ

- 【大人矯正治療例】前歯のV字状の捻じれと出っ歯、叢生、過蓋咬合をインビザラインできれいな歯並びに

- 【大人矯正治療例】頬側転位と埋伏歯を抜歯とマウスピース矯正で綺麗な歯並びに

- 【大人矯正治療例】重度の過蓋咬合と叢生をマウスピース矯正(インビザライン)で綺麗な歯並びに

受け口(反対咬合)
- 【大人矯正治療例】頬側転位と埋伏歯を抜歯とマウスピース矯正で綺麗な歯並びに

- 筋力と成長力で受け口(反対咬合)を改善!ハイブリット矯正治療

- 【大人矯正症例】コンプレックスだった歯並びをマスク生活を期に矯正治療

八重歯(叢生)
- 【大人矯正治療例】前歯のV字状の捻じれと出っ歯、叢生、過蓋咬合をインビザラインできれいな歯並びに

- 【大人矯正治療例】重度の過蓋咬合と叢生をマウスピース矯正(インビザライン)で綺麗な歯並びに

- 【大人矯正治療例】非抜歯×マウスピース矯正(インビザライン)で綺麗な歯並びに。口呼吸も改善。

- 【大人矯正治療】抜歯×マウスピース矯正(インビザライン)で綺麗な歯並びに!







