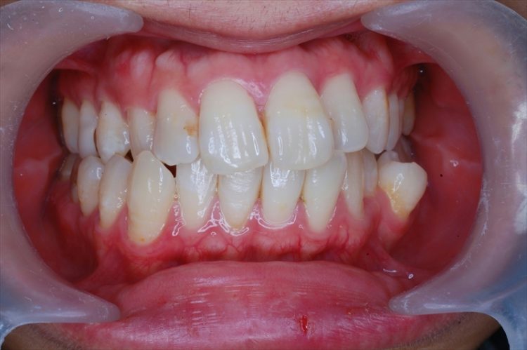
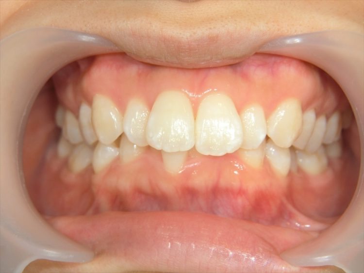
出っ歯(上顎前突)
- 【大人矯正】出っ歯や嚙み合わせ不良を美しく正しい噛み合わせへ

- 【大人矯正治療例】前歯のV字状の捻じれと出っ歯、叢生、過蓋咬合をインビザラインできれいな歯並びに

- 【大人矯正治療例】頬側転位と埋伏歯を抜歯とマウスピース矯正で綺麗な歯並びに

- 【大人矯正治療例】重度の過蓋咬合と叢生をマウスピース矯正(インビザライン)で綺麗な歯並びに

- 【大人矯正治療例】乳歯が残る歯並びのマウスピース矯正治療例

- 【大人矯正治療例】非抜歯×マウスピース矯正(インビザライン)で綺麗な歯並びに。口呼吸も改善。

- 【大人矯正治療】抜歯×マウスピース矯正(インビザライン)で綺麗な歯並びに!

- 【大人矯正治療】出っ歯が綺麗な歯並びに!滑舌も改善!!

- 【大人矯正治療例】出っ歯が短期間で綺麗な歯並びに!

- 【大人矯正症例】ねじれ突出した前歯がマスク期間を利用して綺麗な歯並びに!

- 【大人矯正症例】人前で笑うときは手で隠くしたてけど気にならなくなりました!

- 【大人矯正症例】出っ歯がコンプレックスだったのが素敵な笑顔に

1