【大人矯正症例】正中から右に4mmもズレてしまった歯列をインビザラインで綺麗な歯並びに|40代女性


| 治療期間 | 約3年7ヶ月 |
|---|---|
| 通院回数 | 23回 |
| 治療法 | マウスピース矯正(インビザライン) |
| トータル治療費 | 940,500円 |
| 内訳(検査費) | 55,000円 |
| 内訳(装置費) | 770,000円 |
| 内訳(調整費) | 115,500円 |
矯正治療について
診査時の所見や治療計画の方針について
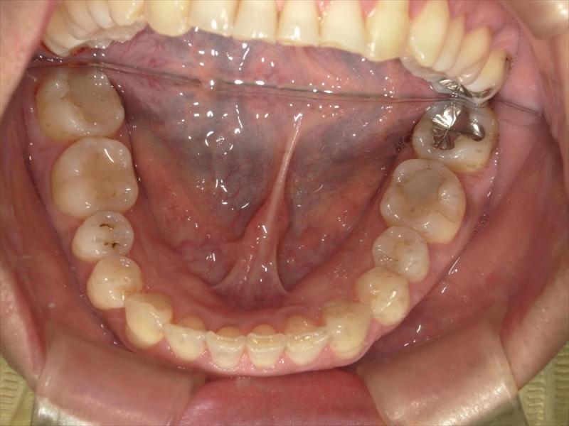
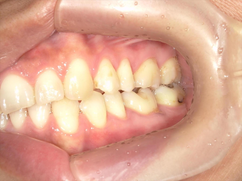
上下の噛み合わせが深く、上の前歯が下の前歯を覆い隠す状態となる過蓋咬合(ディープバイト)でした。
その他には、上顎右の前から2番目が歯列から大きく外れ、中に入り込んでいます。
それにより、右2番目から左の歯は全て半歯分右にズレてしまっていました。
上顎の嚙み合わせに合わせるように下顎も右にズレてしまっています。
※上下ともに中心から4mmズレています。

患者様も顔の歪みを気にされており、このズレが要因の一つだと考えられます。
しかし、噛み合わせは悪くない状態でした。(ズレた状態で噛み合っている)
下顎は奥歯から2番目までが内側に傾いていることと、前から1~2番目は捻じれている状態でした。
奥歯が内側に傾いており、かつ下顎が小さいことが原因で過蓋咬合が起きてしまっていると思われます。
治療計画
上顎
左右の奥歯から順に奥へ下げながら外へ広げるよう動かし、右前2番目が歯列に収まるスペースを作り、歯を綺麗に並べる計画を立案しました。
マウスピース矯正(インビザライン)は奥へ下げる(遠心移動)と歯列を外へ広げる(側方拡大)を得意としています。
下顎
右にズレてしまっているため、左奥歯から順に奥へ下げ、正しい位置に並べ、同時に前歯の捻じれも治す計画を立案しました。
その他
低位舌や舌の筋肉が弱いなど、口腔機能の低下が見受けられたため、口腔筋機能療法(MFT)を同時進行で行いました。
患者様の声
矯正前の悩み(主訴)
- 歯並びが悪い
- 顔の歪みが気になる
矯正をしようと思ったきっかけ
- 子供の頃から気になっていて、推しがインビザラインしていたから
治療を終えた感想
- 夫が凄く褒めてくれて、変わったと実感できた
- 歯並びが綺麗なって嬉しい
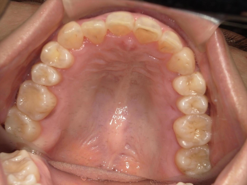
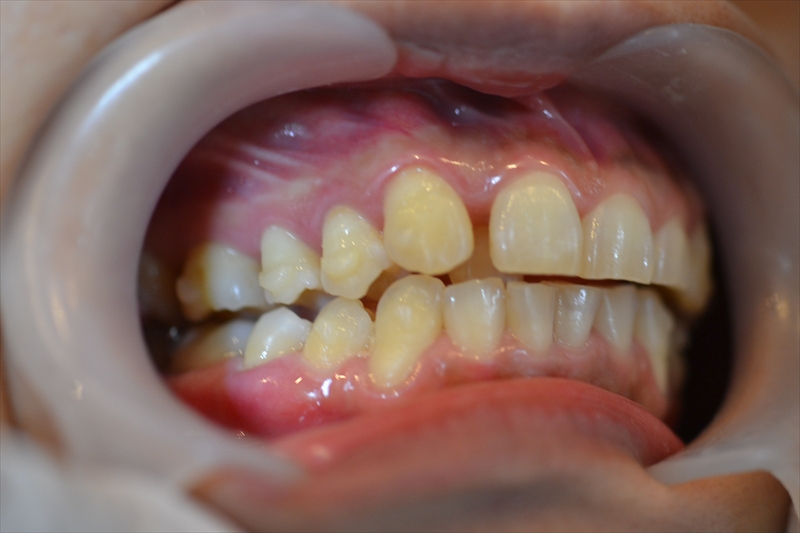
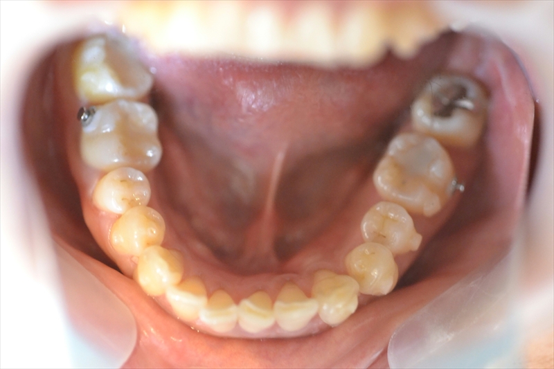
治療前後 写真