【大人矯正治療例】前歯のV字状の捻じれと出っ歯、叢生、過蓋咬合をインビザラインできれいな歯並びに


| 治療期間 | 約2年2ヶ月 |
|---|---|
| 通院回数 | 15回 |
| 治療法 | マウスピース矯正(インビザライン) |
| トータル治療費 | 902,000円 |
| 内訳(検査費) | 55,000円 |
| 内訳(装置費) | 770,000円 |
| 内訳(調整費) | 77,000円 |
矯正治療について
診査時の所見や治療計画の方針について
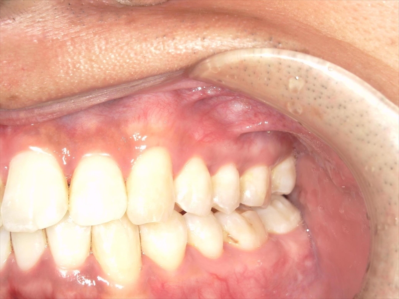
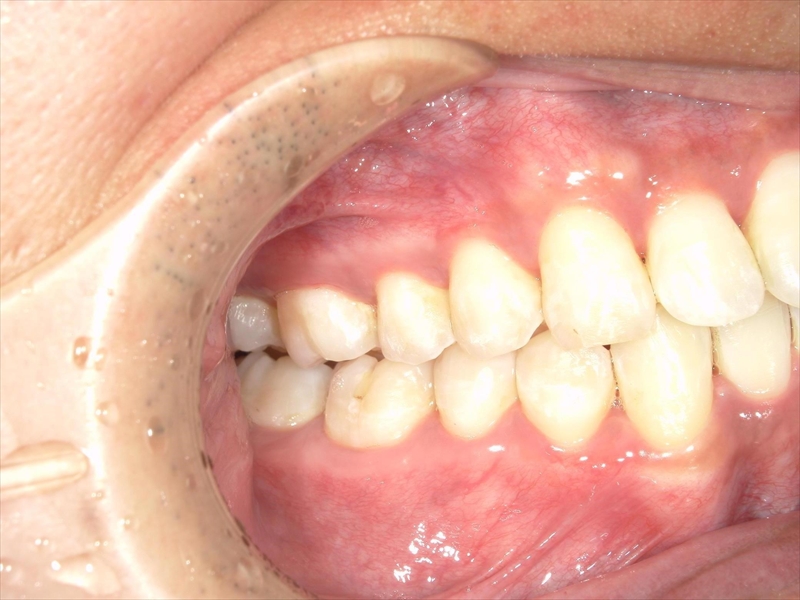
- 上あごの前歯がV字状の出っ歯
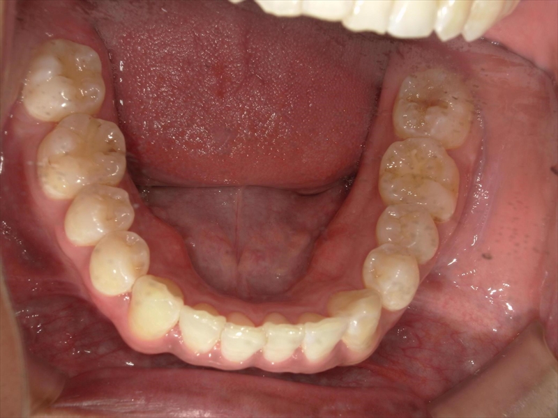
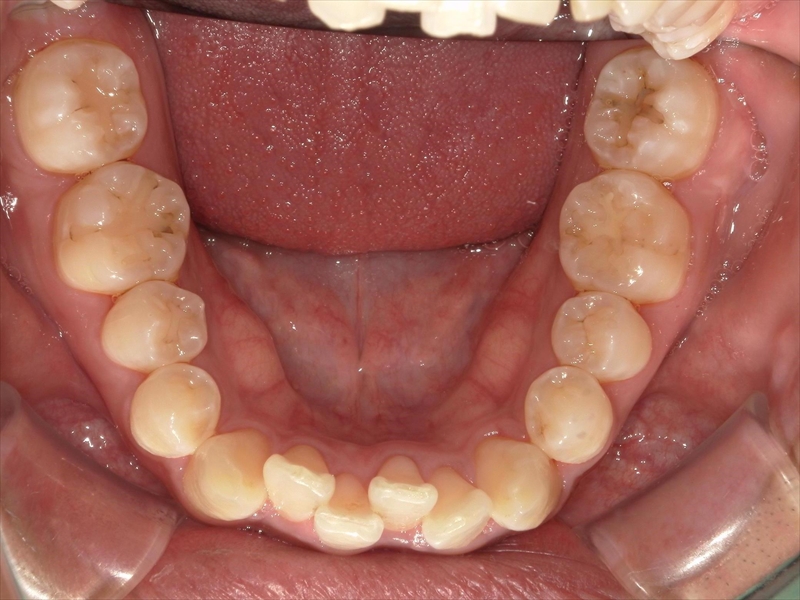
- 下あごの前歯もがたついている(叢生)
- 上あごに対して下あごがかなり小さい(過蓋咬合)
上顎について
前歯のねじれ(V字)と出っ歯を下げるスペースを確保のため、両側1~5番目を0.2~0.5ミリ(計4ミリ)削ることと、奥歯から順に奥へ下げながら外側へ広げる計画を立案しました。
下あごについて
上あご同様、スペース確保のため、両側1~5番目までを各0.5ミリ(計5.5ミリ)削ることと、奥歯から順に奥へ下げながら外側へ広げる計画を立案しました。
その他
低舌位、ほほ杖、いびき、歯ぎしり、早食い、流し込みなどの癖もあったため、矯正治療と同時進行でMFT(口腔筋機能療法)も行いました。
患者様の努力(マウスピース装着時間確保、MFT)もあり、きれいに並べることができました。
患者様の声
主訴
- 歯並び悪いのが嫌だった
矯正治療のきっかけ
健康にもよくないため、沢山症例がある歯科医院を探して申し込んだ。
検査の感想
- 検査は思っていたよりスムーズで特に痛みもなかった
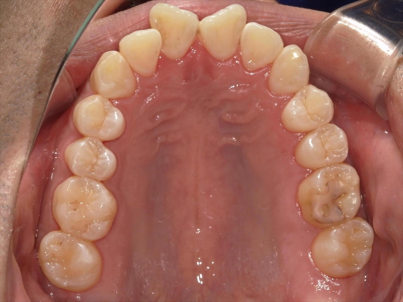
治療前後 写真
素敵な笑顔に