出っ歯で思いっきり笑えない。悩みを解消した大人矯正治療例。


| 治療期間 | 約2年8ヶ月 |
|---|---|
| 通院回数 | 18回 |
| 治療法 | マウスピース矯正(インビザライン) |
| トータル治療費 | 913,000円 |
| 内訳(検査費) | 55,000円 |
| 内訳(装置費) | 770,000円 |
| 内訳(調整費) | 88,000円 |
矯正治療について
診査時の所見や治療計画の方針について
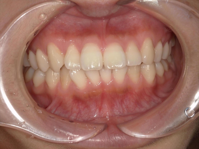
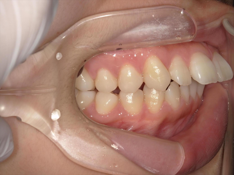
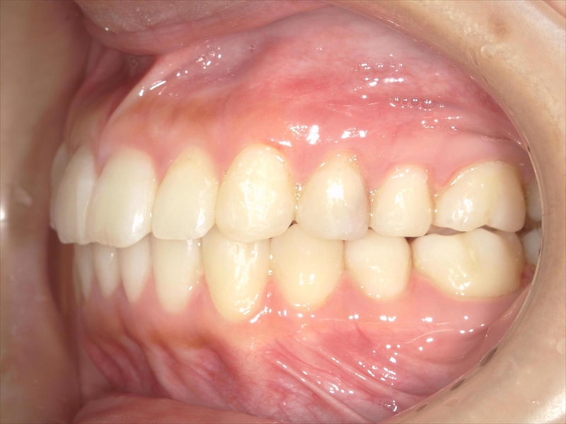
この患者様は、重度の出っ歯があり、下顎前歯には叢生が認められました。
また、奥歯の噛み合わせにも問題があり、本来は半歯分ずつずれて噛み合うべきところが、正しく機能していない状態でした。
その影響で咀嚼力は一般成人の約半分程度に低下しており、顎関節症の疑いもありました。
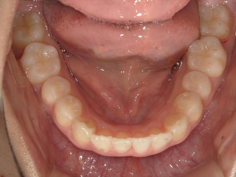
下顎の治療計画について
- 上顎出っ歯が原因で下顎前歯が上に伸び過ぎているため、圧下
- 犬歯から小臼歯までが捻じれていたため、正しい位置へ
- 大臼歯は内側へ入れ
- これらのスペースを確保するため、歯を削る(IPR)
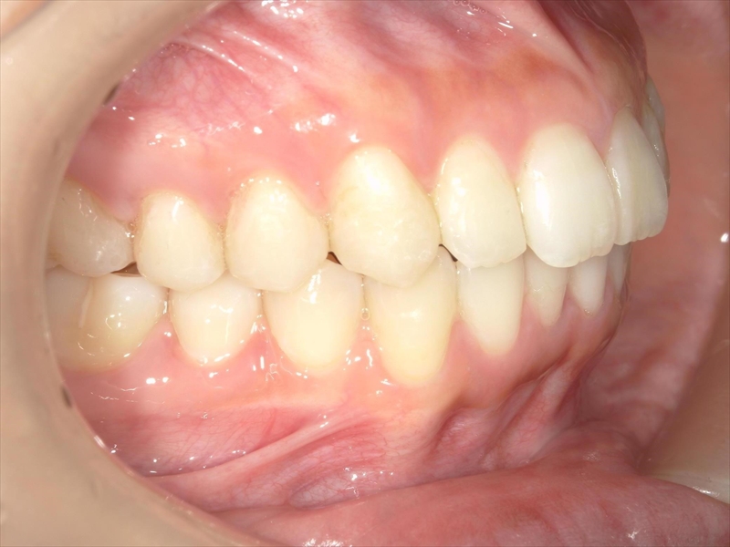
上顎の治療計画について
前歯を収めるスペースを確保するために歯を削り(IPR)、奥歯から順に後方(奥)へ下げる並びを整える計画を立案いたしました。
その他
鼻呼吸できない(常に口が開いている)、頬杖、活舌が悪い、低舌位、顎痛、歯ぎしりなどの癖があったため、口腔筋機能療法(MFT)を矯正治療と同時進行で行いました。
患者様の声
主訴
- 歯並びを治したい
- 顎が痛いのも治したい
患者様は、「出っ歯で口が閉じられず、写真が嫌だった。」「笑う際も気になって思いっきり笑えない。」と悩まれておりました。
矯正治療前の悩み
- 出っ歯が気になる
- 顎が痛くてカクカク鳴る
診査・検査の感想
- 痛みや嫌悪感などはなかった
治療を終えた感想
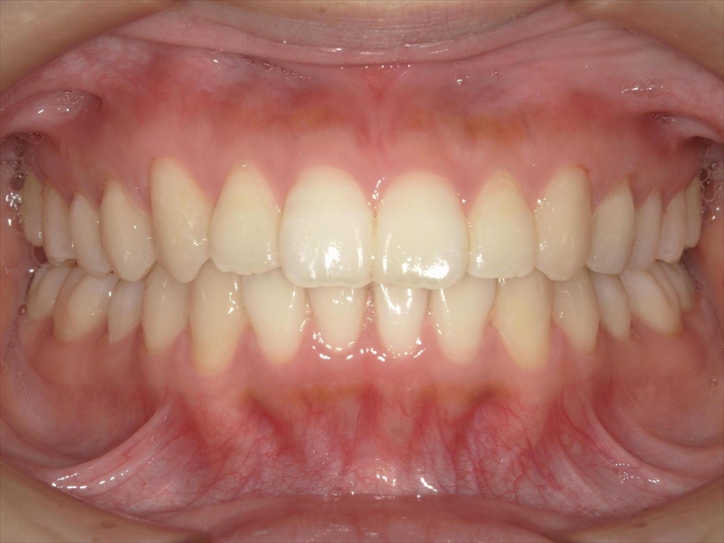
- 凄く綺麗になって嬉しい
治療前後 写真