【大人矯正症例】重度の叢生(八重歯)と受け口を非抜歯で改善|インビザライン治療


| 治療期間 | 約3年7ヶ月 |
|---|---|
| 通院回数 | 23回 |
| 治療法 | マウスピース矯正(インビザライン) |
| トータル治療費 | 935,000円 |
| 内訳(検査費) | 55,000円 |
| 内訳(装置費) | 770,000円 |
| 内訳(調整費) | 110,000円 |
矯正治療について
診査時の所見や治療計画の方針について
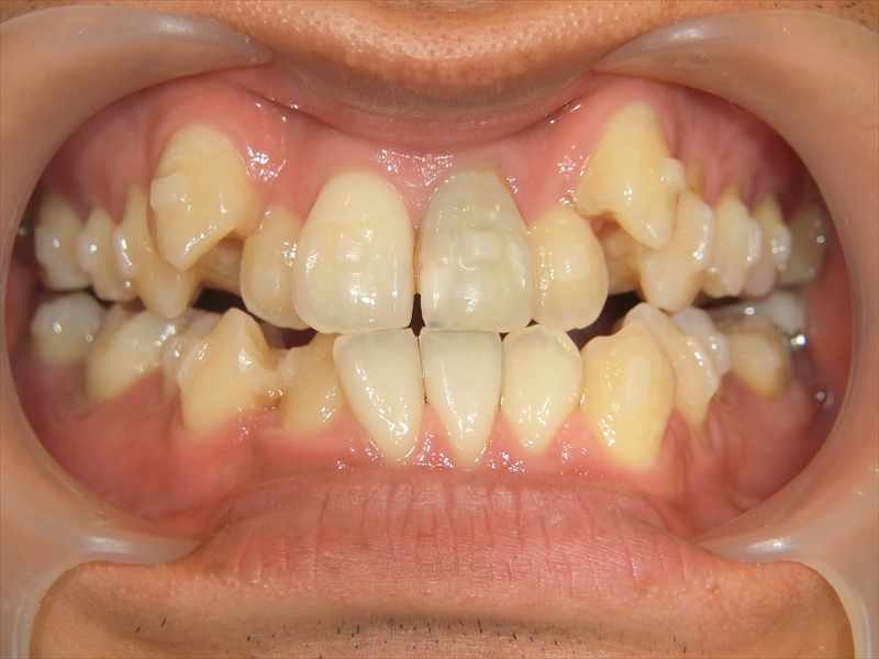
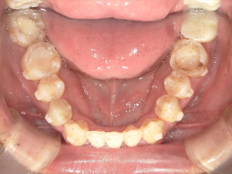
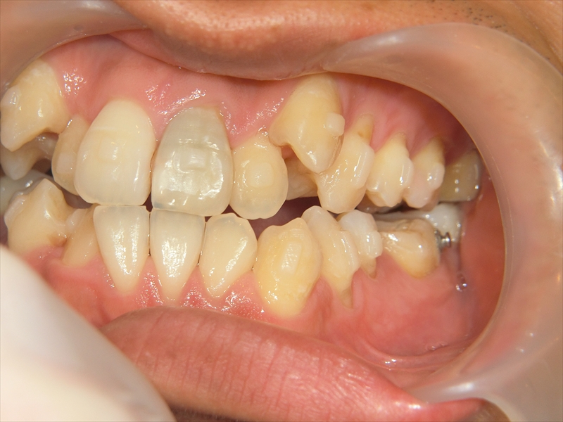
この症例は、20代男性の大人の矯正治療です。
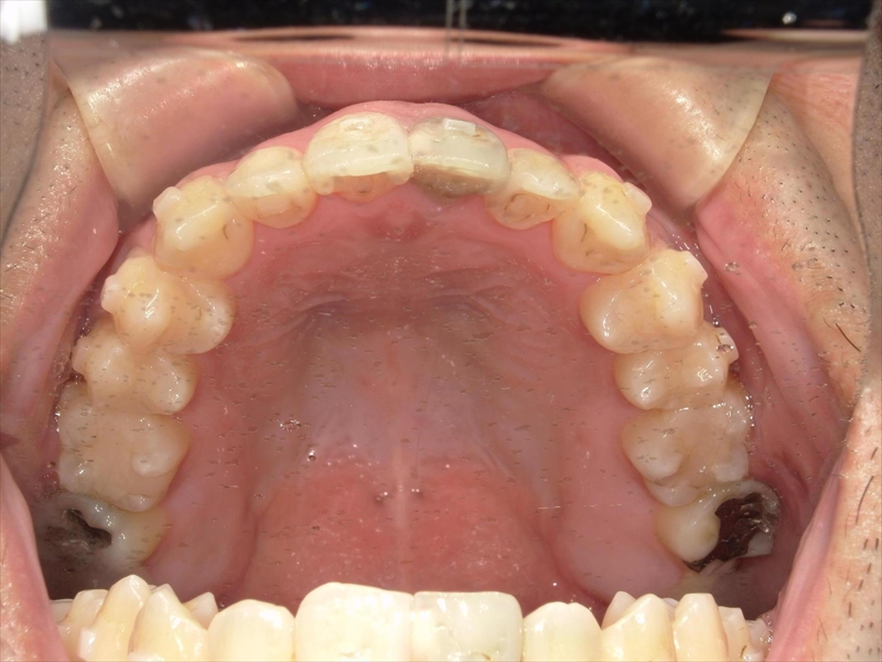
上の歯は歯が並ぶスペースが足りず、八重歯を含むガタガタした歯並びになっていました。
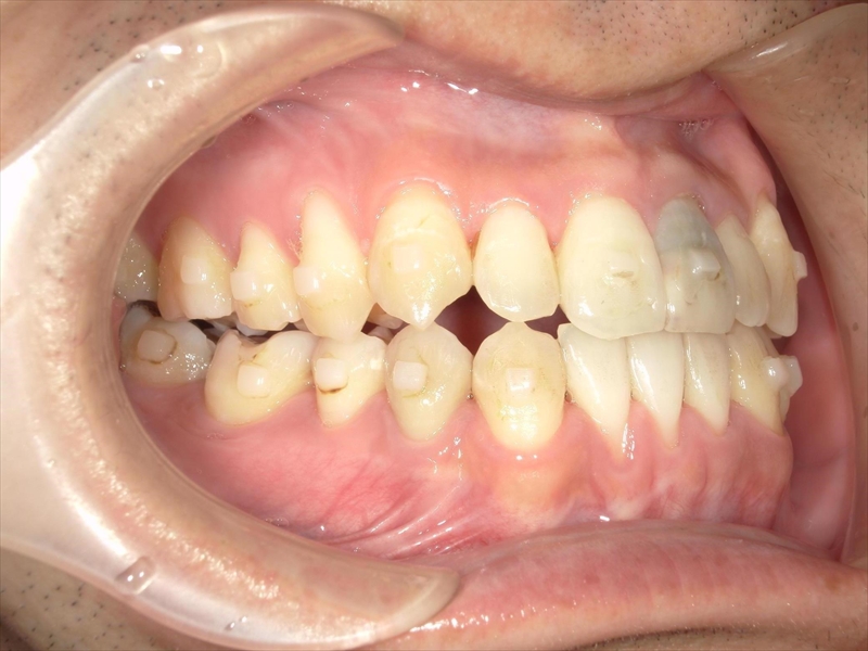
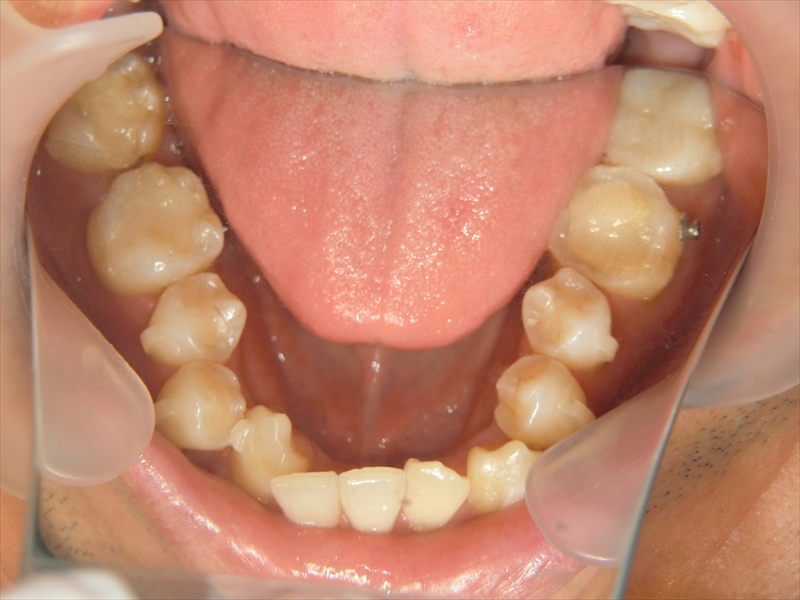
下の歯は、受け口気味で、さらに右下の前から2番目の歯が1本足りない状態でした。
また、歯並び全体がお顔の中心よりも右にずれており、噛み合わせも左右で違っていました。
右側では下の歯が前に出すぎており、左側では逆に下の歯が少し後ろに下がっているという、左右でバランスの取れていない噛み合わせでした。
このような状態を改善するため、歯を同じ方向に動かすのではなく、左上の奥歯は後ろへ、右下の奥歯も後ろへと、斜め方向に歯を動かす治療計画を立てました。
これにより、歯並びのズレや噛み合わせの左右差を少しずつ整えていきました。
歯を動かすためのスペースを作る目的で、上の親知らず2本を抜歯し、1本あたりごくわずかに歯を削る処置も行っています。
削る量はごく微量で、見た目や歯の健康に影響が出ない範囲です。
これらの調整を組み合わせることで、歯並びだけでなく、噛み合わせやお顔とのバランスも考えた矯正治療を行いました。
そのほかには、低位舌、爪を噛むなど癖があったため、口腔筋機能療法(MFT)も矯正治療と合わせて行いました。
患者様の声
矯正前の悩み
- 八重歯が気になっていた
- むし歯になりやすかった
矯正をしようと思ったきっかけ
- 兄弟もしていたから
- マスクをしているので矯正しようと思った
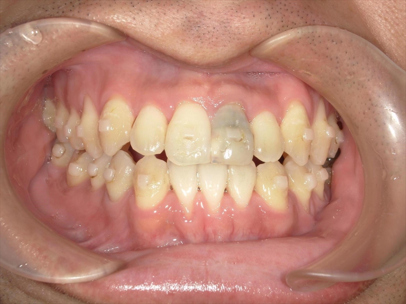
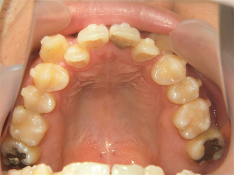
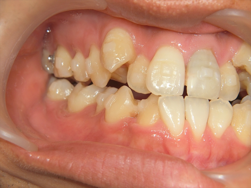
治療前後 写真