【大人矯正】出っ歯や嚙み合わせ不良を美しく正しい噛み合わせへ


| 治療期間 | 約7ヶ月 |
|---|---|
| 通院回数 | 8回 |
| 治療法 | マウスピース矯正(インビザライン) |
| トータル治療費 | 830,500円 |
| 内訳(検査費) | 27,500円(キャンペーン価格) |
| 内訳(装置費) | 770,000円 |
| 内訳(調整費) | 33,000円 |
矯正治療について
診査時の所見や治療計画の方針について
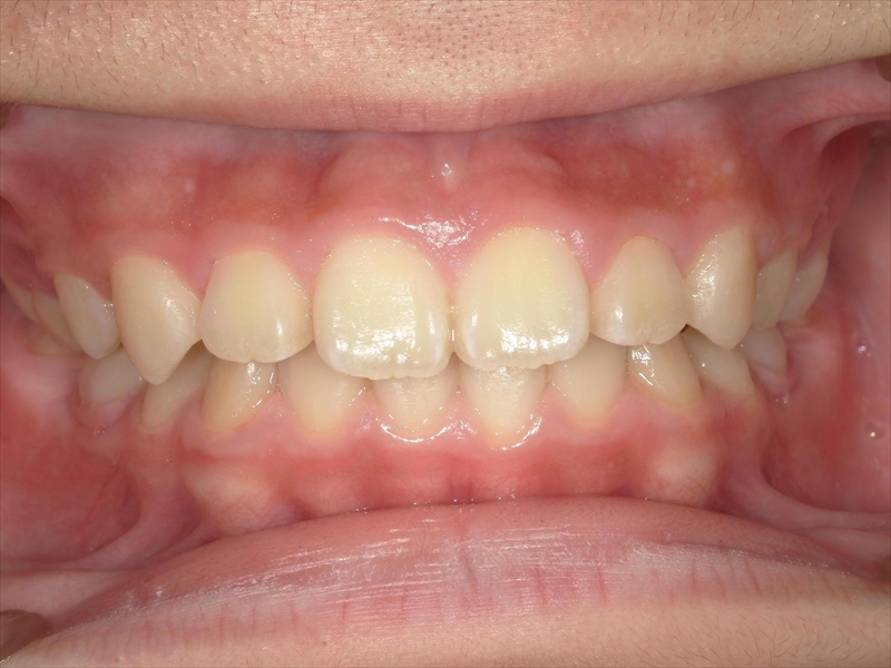
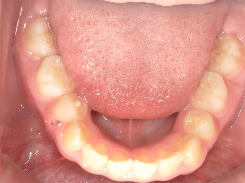
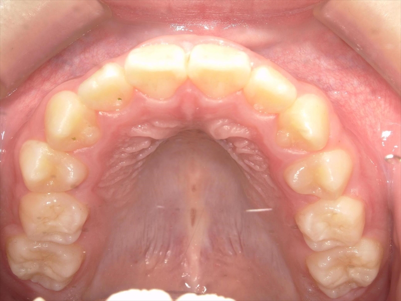
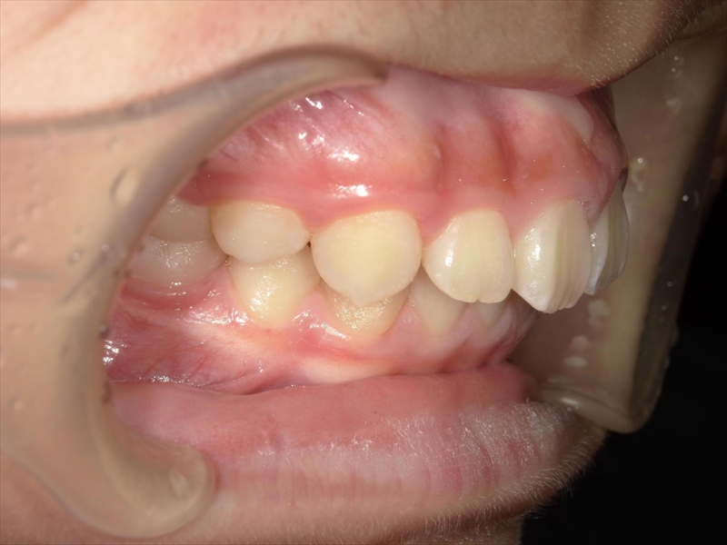
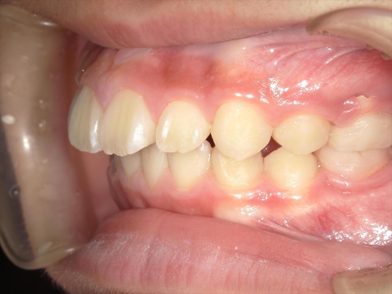
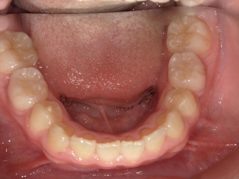
検査時では以下の状態でした。
- 出っ歯
- 噛み合わせが悪い
- 右側前から3~4番目の歯が嚙み合っておらず過蓋咬合のようになっている
- 下顎の前から1~3番目が伸びすぎている
出っ歯はスペース不足というより、角度がついて出てきてしまった状態でした。
また、その他の歯は、上下とも全体的に内側に傾いて生えています。
外側に起こすように治療することで、前歯を収めたり、嚙み合わせを整える計画を立案いたしました。
その後に下顎の前から1~3番目を下に沈める(圧下)や下顎3番目の捻じれも、合わせて正しい位置へ移動さる計画としました。
その他には、低舌位・口呼吸などの癖もあったため、矯正治療と同時進行で口腔筋機能療法(MFT)を行いました。
患者様の声
主訴
噛み合わせが悪く、このままでは歯が割れてしまうと他医院で言われた。
矯正治療のきっかけ
噛み合わせと合わせて歯並びも良くしたかったから。
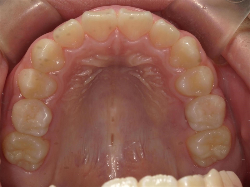
治療前後 写真