【大人矯正治療例】頬側転位と埋伏歯を抜歯とマウスピース矯正で綺麗な歯並びに


治療期間 | 2年3ヶ月 |
---|---|
通院回数 | 14回 |
治療法 | インビザライン |
トータル治療費 | 896,500円 |
内訳(検査費) | 55,000円 |
内訳(装置費) | 770,000円 |
内訳(調整費) | 71,500円 |
矯正治療について
診査時の所見や治療計画の方針について
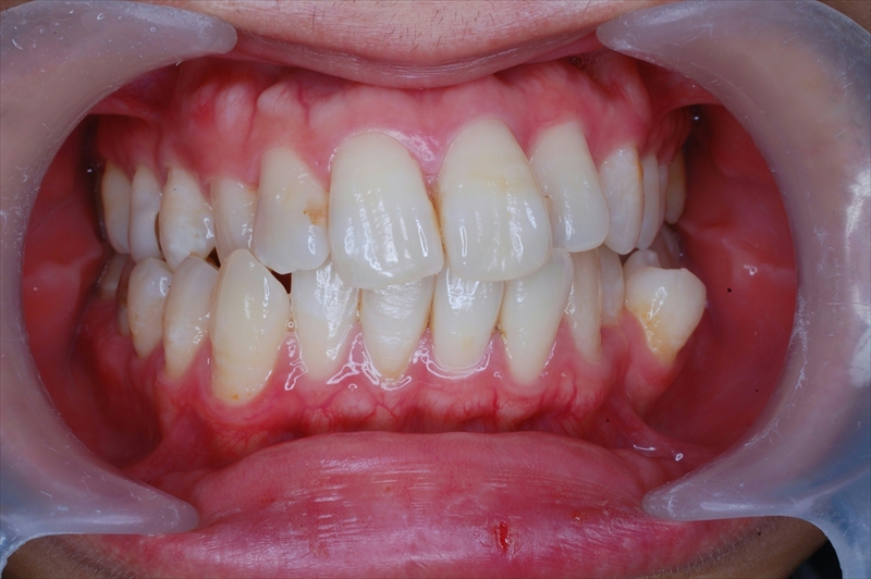
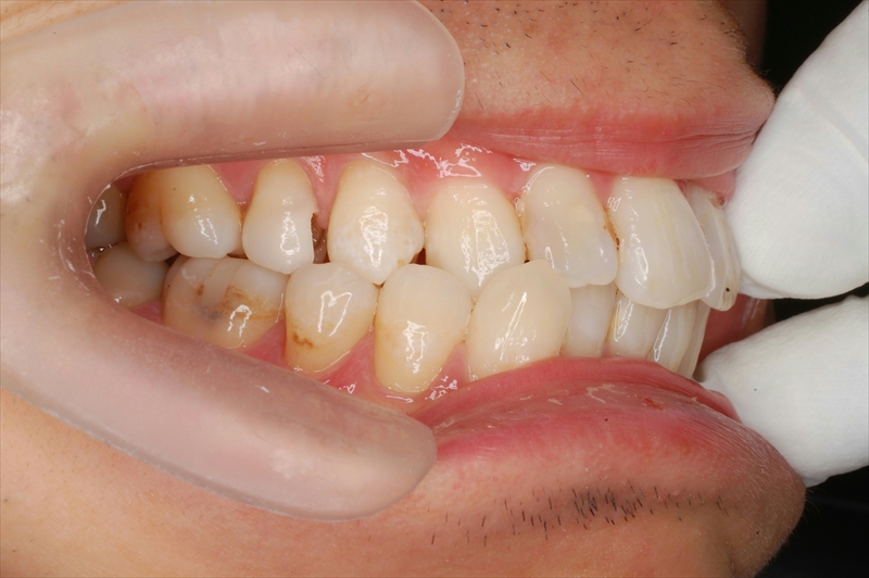
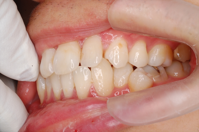
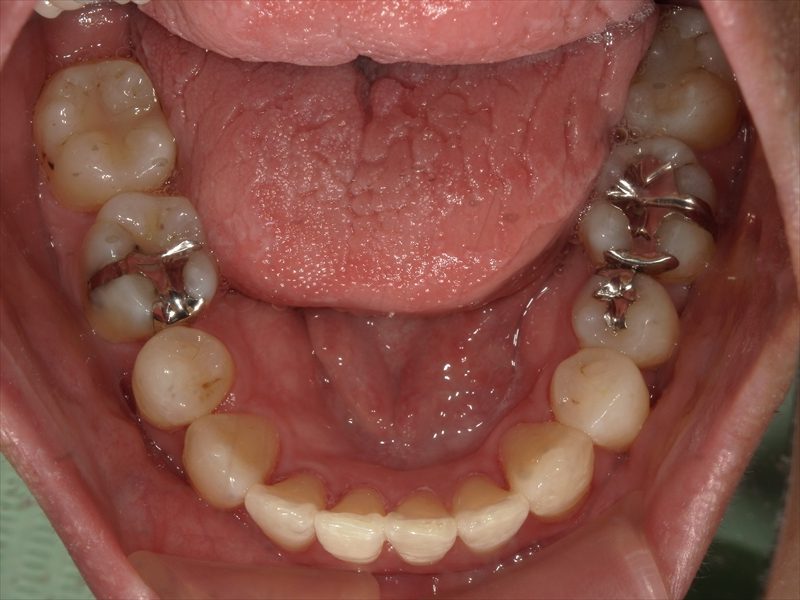
左下前から5番目が頬側転位(キョウソクテンイ:歯列の外側(頬側)に飛び出していること)していました。
また、左上の3番目が埋伏(上顎に埋まっていて生えてこない状態)していました。
左側奥歯2本の噛み合わせは悪くありませんでしたが、4~5番の噛み合わせは悪い状態でした。
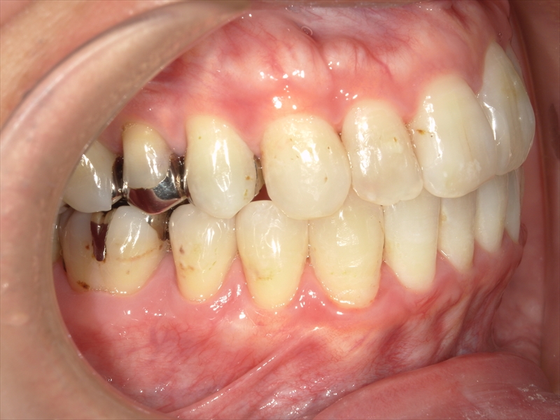
上顎の歯が埋伏し1本不足していることから頬側転位している歯を抜歯することにより、上下のバランスを揃える計画を立案しました。
右側は前から2~4番目が反対咬合になっていました。
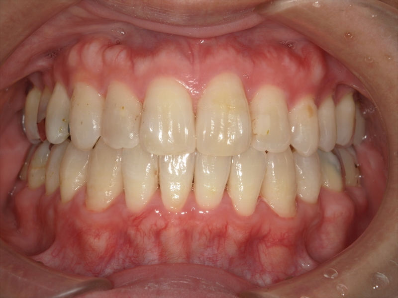
そのため、上顎は奥に下げながら外側に広げ、下顎は奥に下げながら内側に狭めることで上下のバランスを整えました。
その他にいびき、早食い、低位舌などの癖もあったため、矯正治療と並行して口腔筋機能療法(MFT)も行いました。
患者様の声
主訴
- 前歯が少し出ている
矯正前の悩みや治療のきっかけ
- 奥歯にものが詰まりやすい
- 歯磨きがしにくい
- 親知らず(4本)を抜いたのを機に
治療を終えた感想
- 歯磨きがしやすくなった
- プラスする習慣がついた
- 間食をしなくなった
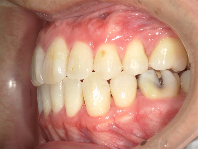
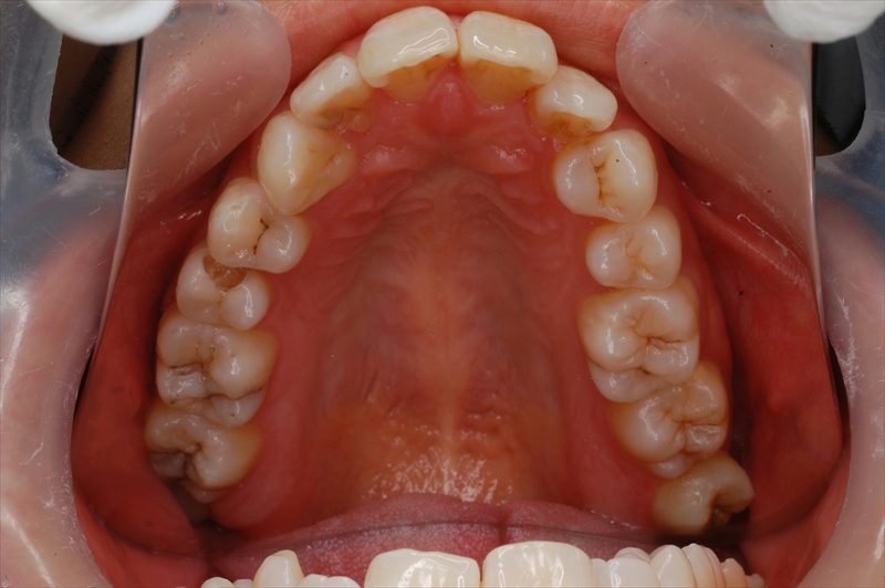
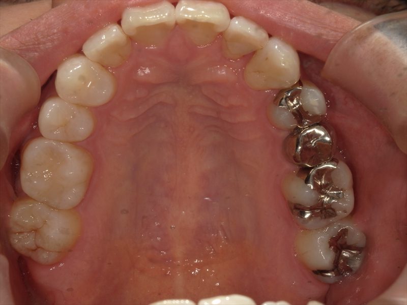
治療前後 写真







