【大人矯正治療例】重度の過蓋咬合と叢生をマウスピース矯正(インビザライン)で綺麗な歯並びに


| 治療期間 | 約3年2ヶ月 |
|---|---|
| 通院回数 | 25回 |
| 治療法 | インビザライン(マウスピース矯正) |
| トータル治療費 | 962,500円 |
| 内訳(検査費) | 55,000円 |
| 内訳(装置費) | 770,000円 |
| 内訳(調整費) | 137,500円 |
矯正治療について
診査時の所見や治療計画の方針について
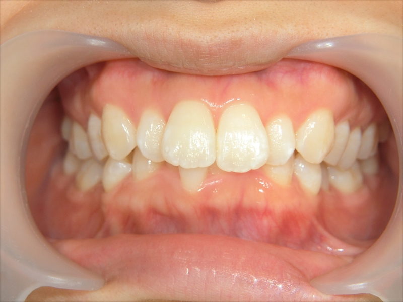
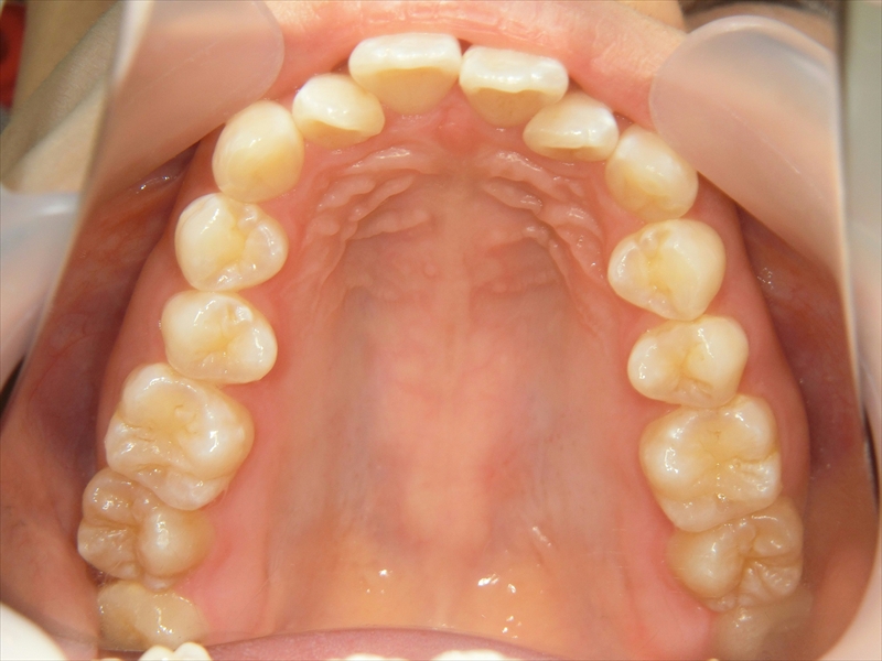
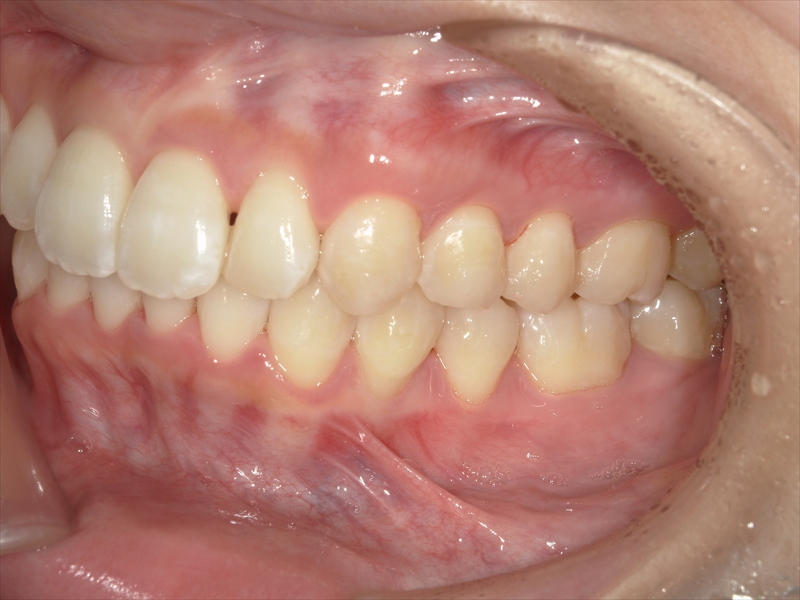
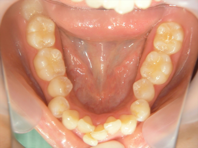
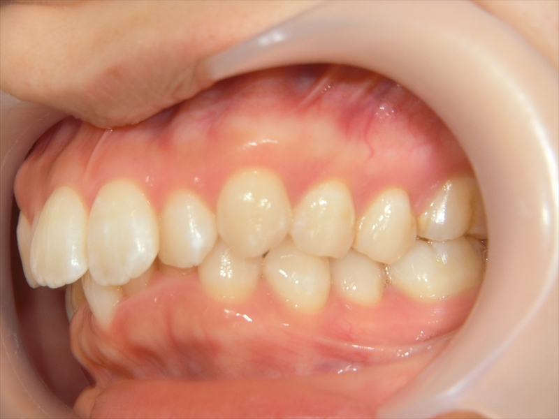
上顎は下の歯が見えない過蓋咬合で、下顎は顎が小さく歯が並ぶスペース不足による叢生でした。
そのため、出っ歯に見えてしまう状態でした。
また、上顎は横幅が狭く(V字に近い状態)、全体的に内側に入り込んでいました。
(特に前から2番目が内に入り込んでしまっている)
歯を動かすスペース確保のため、上顎の両側と下顎の右側、それぞれの親知らずを抜歯しました。
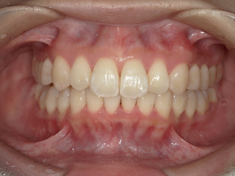
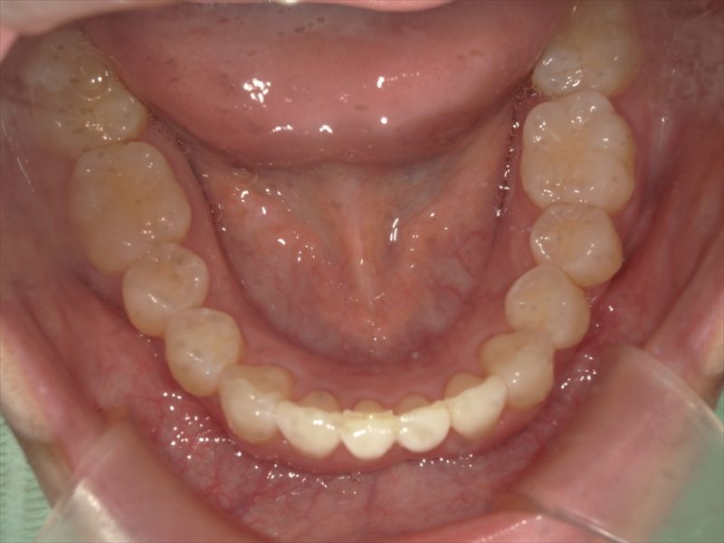
下顎について
患者様の希望により抜歯はしませんでした。
そのため、左右前から4番目までの各歯を0.5㎜ずつ削り(IPR)動かすスペース確保しました。
同時にインビザラインにて押し広げるように治療いたしました。
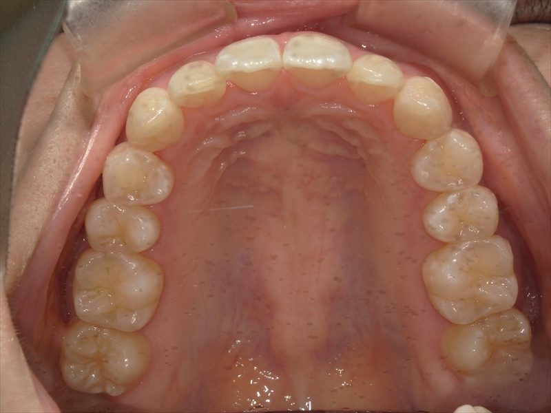
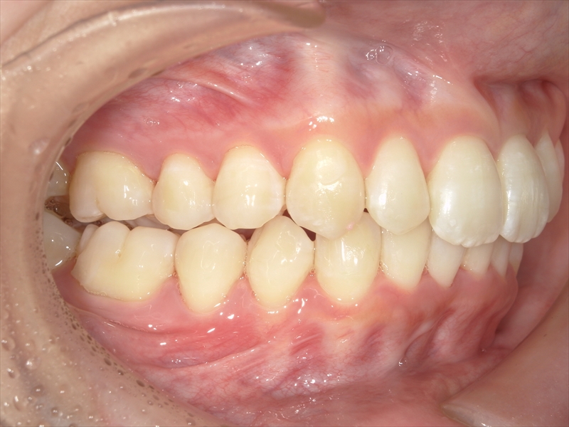
上顎について
奥歯を後ろに下げながら外側へ広げスペースを確保しました。
出来たスペースに前から1~3番目を納めました。
また、さらなるスペース確保のため、左右前から6番目までの各歯を0.4~0.5㎜削り(IPR)ました。
その他に舌癖、低位舌、唇を噛む、頬杖などの癖もあったため、矯正治療と並行して口腔筋機能療法(MFT)も行いました。
患者様の声
矯正前の悩み
- 歯並びが気になっていた(笑うときなど)
- むし歯にならないか心配(下顎前歯が重なっていたため)
- 他医院では抜かないとダメと言われた
診査・検査の感想
- シュミレーターで治療の過程が分かり、モチベーションUPになった
- 型取りする際が辛かった
治療を終えた感想
- フェイスラインがすきっりして嬉しい
- 笑うときに気にならなくなった
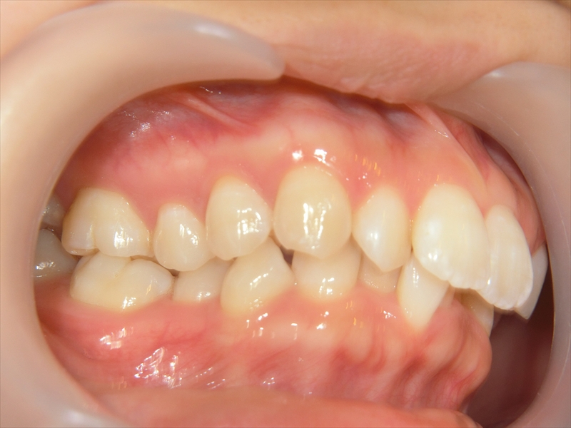
治療前後 写真